Recidiverende depressieve stoornis bij een atypisch CADASIL-syndroom
Samenvatting Een 55-jarige man met recidiverende depressieve episodes, vanaf 45-jarige leeftijd, werd opgenomen in het ziekenhuis na een suïcidepoging. Wegens een recent cerebrovasculair accident (CVA) en een familiale voorgeschiedenis van CVA en depressie, werd de diagnose cerebrale autosomaal dominante arteriopathie met subcorticale infarcten en leuko-encefalopathie (CADASIL) (prevalentie 2-5 per 100.000) overwogen. Depressie is veelvoorkomend bij CADASIL, maar recidiverende depressies als initiële presentatie is niet karakteristiek. Op een MRI-scan van de hersenen konden de typische wittestofletsels in de anterieure temporaalkwab ook niet aangetoond worden. Genetische analyse toonde een cysteïnesparende mutatie (Arg61Trp) in het NOTCH3-gen. Recentelijk werden verschillende van dergelijke mutaties in verband gebracht met CADASIL met een atypisch fenotype met onder andere een lagere prevalentie van recidiverende CVA’s. Dit suggereert dat het vóórkomen van CADASIL mogelijk onderschat wordt bij patiënten met een depressieve stoornis. Deze casus toont het belang aan om bij patiënten met een depressieve stoornis de diagnose CADASIL te overwegen, omdat bevestiging van de diagnose gevolgen heeft voor de prognose, behandeling en genetische counseling.
Cerebrale autosomaal dominante arteriopathie met subcorticale infarcten en leuko-encefalopathie (CADASIL) is een erfelijke aandoening die de kleine bloedvaten in de hersenen aantast. Het typische klinische beeld omvat migraine met aura, recidiverende cerebrovasculaire accidenten (CVA’s), cognitieve achteruitgang die tot dementie kan leiden alsook stemmingsstoornissen.1 De prevalentie van het CADASIL-syndroom wordt geschat op 2 à 5 per 100.000. Depressie komt vaak voor met een prevalentie geschat op 21% en kan zowel in een vroeg als in een laat stadium van de aandoening optreden.2 Slechts bij minder dan 10-15% van de patiënten met CADASIL zijn depressieve symptomen de eerste uiting van het syndroom.3
CADASIL wordt veroorzaakt door een autosomaal dominante mutatie in het NOTCH3-gen. Er zijn meerdere mutaties beschreven die een breed spectrum van klinische fenotypes omvatten met soms een lichter tot zelfs subklinisch verloop.4 Recent onderzoek toont aan dat pathogene NOTCH3-varianten bij 3,4 per 1000 individuen voorkomen, waardoor de prevalentie van CADASIL (in mogelijk lichtere of atypische vorm) vermoedelijk hoger is dan eerder aangenomen.5 De leeftijd waarop symptomen ontstaan, kan ook sterk verschillen, van 20 tot ouder dan 70 jaar.5
Op een MRI-scan van de hersenen kunnen wittestofletsels (WSL) en/of subcorticale infarcten en cerebrale microbloedingen aangetoond worden. Bij een klassiek CADASIL-syndroom zijn naast periventriculaire WSL vooral letsels in de anterieure temporaalkwab typerend.1,6 Bij CADASIL veroorzaakt door, de recenter beschreven, cysteïnesparende mutaties in het NOTCH3-gen ontbreken deze typische letsels echter meestal.7-10 Dit kan er in de praktijk toe leiden dat de diagnose niet overwogen wordt.
Aan de hand van de casus van een 55-jarige patiënt met recidiverende depressieve episodes waarbij een pathogene cysteïnesparende NOTCH3-mutatie werd vastgesteld, bespreken we relevante klinische aspecten van depressie geassocieerd met CADASIL.
casusbeschrijving
Patiënt A, een 55-jarige man, werd opgenomen in het ziekenhuis na een suïcidepoging. Bij opname werd een ernstig depressief toestandsbeeld met melancholische kenmerken vastgesteld (Montgomery Åsberg Depression Rating Scale(MADRS)-score: 45). Er was sprake van apathie en psychomotore vertraging met beperkte contactgroei en hypomimiek. Verder werden anhedonie, anergie en innerlijke onrust gezien. Er was een uitgesproken preoccupatie met de lichamelijke toestand. De slaapbehoefte was toegenomen en de eetlust was verminderd. Patiënt benoemde een doodswens; er was uitgesproken hopeloosheid met schuldgevoelens.
Op cognitief gebied waren er opvallende aandachts- en geheugenstoornissen. Neuropsychologisch onderzoek objectiveerde een verminderd werkgeheugen, deficitaire volgehouden en verdeelde aandacht alsook globale executieve stoornissen.
Psychiatrische voorgeschiedenis
Patiënt maakte een eerste depressie door op 45-jarige leeftijd. Op 47-jarige leeftijd werd hij voor het eerst in een ziekenhuis opgenomen ten gevolge van een ernstig depressief toestandsbeeld. Behandeling met escitalopram zorgde voor partiële remissie. Op 50-jarige leeftijd werd hij opnieuw opgenomen wegens recidiefdepressie, met stemmingscongruente psychotische kenmerken in de vorm van ondergangswanen. Farmacologische behandeling met achtereenvolgens duloxetine, bupropion en nortriptyline in combinatie met aripiprazol leidde niet tot respons. Behandeling met 20 sessies bitemporale ECT had slechts een beperkte reductie van het klachtenpatroon tot gevolg. Op 51-jarige leeftijd deed patiënt een eerste suïcidepoging bij een persisterende depressieve stemming. Therapie met achtereenvolgens sertraline, clomipramine en uiteindelijk lithiumaugmentatie had opnieuw slechts beperkte impact op het toestandsbeeld. Sindsdien bleef een chronisch depressief toestandsbeeld aanhouden.
Somatische voorgeschiedenis
Sinds de adolescentie had patiënt migraine met aura. Op 53-jarige leeftijd maakte hij een CVA door met hemiplegie links. Een MRI-scan van de hersenen toonde een ischemisch letsel in het stroomgebied van de arteria cerebri media rechts in de regio van de lenticulostriatale vaten en uitgesproken WSL subcorticaal. Er waren geen cardiovasculaire risicofactoren.
Familiale voorgeschiedenis
De vader van de patiënt maakte een CVA door op 50-jarige leeftijd en hij had recidiverende depressies. Hij overleed ten gevolge van suïcide op 53-jarige leeftijd. Drie zussen van de patiënt hadden recidiverende depressieve episodes. Eén zus had migraine en maakte een CVA door op 55-jarige leeftijd.
Diagnostisch onderzoek
Gezien de persoonlijke en familiale voorgeschiedenis met recidiverende depressies, CVA’s en migraine werd CADASIL als etiologie overwogen. Gericht diagnostisch onderzoek werd uitgevoerd.
MRI-scan van de hersenen
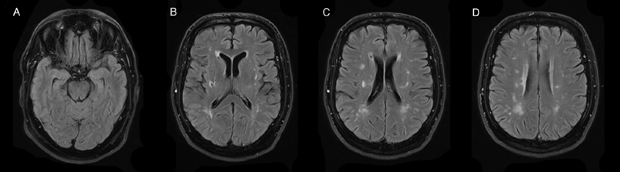
Een MRI-scan van de hersenen op 55-jarige leeftijd toonde multipele, deels confluerende WSL periventriculair en in de diepe witte stof (fazekasscore 2) alsook verschillende lacunaire infarcten (figuur 1). Er was geen aantasting ter hoogte van de temporaalkwab.
Figuur 1. FLAIR-gewogen MRI-beelden van patiënt A

Axiale snedes door: A. temporaal- en occipitaalkwab, B. basale ganglia, thalamus en capsula interna en externa, C. corona radiata, D. centrum semiovale. Confluerende periventriculaire en diepe wittestofletsels (fazekasscore 2) en lacunaire infarcten enkel gevisualiseerd ter hoogte van B, C en D. Geen wittestofletsels ter hoogte van de anterieure temporaalkwab, zoals verwacht bij het ‘klassiek’ CADASIL-syndroom.
Genetisch onderzoek
Een cysteïnesparende mutatie in het NOTCH3-gen werd aangetoond. De patiënt bleek heterozygoot voor de variant Arg61Trp (pR61W).
Huidbiopt
Een huidbiopt kan door het aantonen van granulair osmiofiel materiaal (GOM) bestaande uit een stapeling van NOTCH3-receptoren in de gladde spiercellen van de bloedvaten als zeer specifiek (100%) onderzoek ingezet worden. De sensitiviteit ligt echter slechts rond 50%.11 De resultaten van een huidbiopt bij de patiënt maakten geen conclusie mogelijk. Het toonde aspecifieke oppervlakkige dermatitis, maar geen GOM.
Klinisch verloop tijdens ziekenhuisopname
Het verdere verloop kenmerkte zich door een aanhoudende regressieve toestand waarbij apathie, sombere stemming en cognitieve achteruitgang op de voorgrond stonden. Het opnieuw opstarten van nortriptyline in combinatie met aripiprazol had klinisch geen significante invloed op het toestandsbeeld.
Op basis van het klinische beeld en de bevindingen bij het genetisch onderzoek werd de diagnose CADASIL gesteld en werd genetische counseling geadviseerd.
bespreking
In de database van PubMed zochten we met de zoektermen ‘CADASIL’ en ‘depression’ (inclusief verwante termen) alsook apart via de zoekterm ‘cysteine-sparing NOTCH3 mutation’ naar relevante artikelen. Door referentielijsten te screenen en te zoeken naar artikelen die de gevonden artikelen citeerden, zochten we naar aanvullende artikelen.
Kliniek van CADASIL
Migraine met aura is vaak het eerste symptoom van deze aandoening en ontstaat gemiddeld op 30-jarige leeftijd. Het komt voor bij 20-40% van de patiënten.12 Het meest voorkomend zijn CVA’s die zich bij 60-85% van de patiënten voordoen, gemiddeld rond 49-jarige leeftijd.1,6 Vaak zijn er geen cardiovasculaire risicofactoren te vinden.1 Cognitieve achteruitgang wordt vooral gekenmerkt door aandachts- en executieve disfuncties en is aanwezig bij bijna alle patiënten ouder dan 50 jaar. Bij ongeveer 60% van de patiënten evolueert deze naar een dementie met vaak ook motorische symptomen.13 Psychiatrische symptomen bestaan voornamelijk uit stemmingsstoornissen (24%) waarbinnen depressie het vaakst voorkomt (21%).2 Apathie komt voor bij 41% van de patiënten.14
Vanaf 30-35-jarige leeftijd kunnen reeds subcorticale en/of periventriculaire WSL op MRI aangetoond worden.6 Er is typisch een snelle uitbreiding van de letsels met de leeftijd, vooral naar de anterieure temporaalkwab en de capsula externa.6
De gemiddelde levensverwachting van patiënten met CADASIL is 65-70 jaar.15
Tot op heden is er geen curatieve behandeling voor CADASIL. Voor de symptomatische behandeling van zowel migraine, TIA/CVA, cognitieve stoornissen of depressie is er onvoldoende evidentie om het systematisch gebruik van specifieke middelen aan te bevelen.16 Voorzichtigheid is geboden bij het gebruik van middelen met vasomotorische effecten zoals triptanen bij migraine. Primaire en secundaire cardiovasculaire preventie is aanbevolen met bijzondere aandacht voor stoppen met roken.17 Verder maakt het autosomaal dominante overervingspatroon genetische counseling van groot belang.
Genetica
Het NOTCH3-gen op chromosoom 19 codeert voor het transmembraaneiwit NOTCH3 en komt voornamelijk tot expressie in de gladde spiercellen van bloedvaten.9 Het mechanisme waardoor mutaties in dit gen uiteindelijk leiden tot vasculaire letsels is vooralsnog onzeker. Hypotheses zijn o.a. een verstoorde NOTCH3-signaaltransductie en toxiciteit van de aggregatie van het extracellulaire domein van NOTCH3.9 In 95% van de gevallen gaat het om een missensepuntmutatie, waarbij één nucleotide wordt vervangen door een ander met als gevolg dat een ander aminozuur in het eiwit wordt ingebouwd.9
Cysteïnemodificerende mutaties
Deze mutaties resulteren in een oneven aantal cysteïneresidu’s in één van de 34 extracellulaire epidermal growth factor-like repeatdomeinen van de NOTCH3-receptor. Dit leidt tot foutieve eiwitvouwing en aggregatie van de extracellulaire domeinen. De locatie van de mutatie blijkt bepalend voor de pathogeniciteit.4,18 Bij patiënten met CADASIL die deze cysteïnemodificerende mutaties hebben, worden op MRI-scans subcorticale infarcten en confluerende WSL gezien, typisch ook ter hoogte van de anterieure temporaalkwab en de capsula externa.7,9
Volgens recent onderzoek zou echter de meerderheid van de dragers van een cysteïnemodificerende mutatie slechts beperkte WSL vertonen op MRI.4
Er lijkt bij deze mutaties dus sprake te zijn van een breed fenotypisch spectrum, van een typisch CADASIL-syndroom, de aanwezigheid van WSL met een subklinisch verloop tot non-penetrantie.4
Cysteïnesparende mutaties
Cysteïnesparende mutaties – die niet resulteren in een afwijkend aantal cysteïneresidu’s – werden recenter beschreven als oorzaak van CADASIL.7-10 Zo werd p.R61W, zoals in onze casus werd vastgesteld, voor het eerst beschreven in 2009.19 De prevalentie van deze mutatie wordt geschat op 0,05%, wat 10 keer hoger is dan de klassiek geschatte prevalentie van CADASIL.20 Een opvallend klinisch verschil met de klassieke cysteïnemodificerende mutaties is echter het weinig frequent vóórkomen van WSL ter hoogte van de anterieure temporaalkwab.7-10
Een mogelijke verklaring hiervoor zou kunnen zijn dat de hyperintensiteiten die op MRI-FLAIR-beelden (fluid-attenuated inversion recovery) typisch zichtbaar zijn in de anterieure temporaalkwab voornamelijk gerelateerd zijn aan clusters van verbrede perivasculaire ruimtes, geassocieerd met aggregatie van extracellulaire domeinen van NOTCH3, meer dan met ischemische letsels.21 De neiging tot aggregatie blijkt globaal bij cysteïnesparende mutaties kleiner.20 De unieke curvatuur en bevloeiing van de anterieure temporaalkwab via verschillende vertakkingen van de arteria temporalis anterior zouden maken dat dit verschil typisch in deze regio zichtbaar is.21
Een overzicht van klinische verschillen tussen cysteïnemodificerende en -sparende mutaties vindt u in tabel 1.
Tabel 1. Klinische verschillen tussen CADASIL-syndromen bij cysteïnemodificerende en -sparende NOTCH3-mutaties7,8
|
Cysteïnemodificerende mutaties |
Cysteïnesparende mutaties |
|
|
Frequentie migraine |
73% |
39% |
|
Frequentie recidiverende CVA |
37% |
18% |
|
WSL t.h.v. anterieure temporaalkwab |
93% |
9% |
|
Ernstige leuko-encefalopathie (fazekasscore 3) |
94% |
62% |
|
Aantasting capsula externa |
100% |
50% |
|
Lacunaire infarcten |
100% |
65% |
|
Familieleden met CVA < 60 jaar |
71% |
32% |
|
Beginleeftijd, in j |
57 |
52 |
CADASIL en depressie
Hoewel de prevalentie van depressie bij CADASIL geschat wordt op rond 21%, ligt de prevalentie ooit mogelijk rond 70% (vergeleken met 12% in de algemene populatie).2,22 In sommige gevallen is depressie zelfs het eerste symptoom.3
Het klinische beeld alsook de intensiteit van de depressieve symptomen kan erg variëren, van een minder ernstige depressie tot een beeld met uitgesproken suïcidaliteit. Behalve ‘klassieke’ kenmerken zoals sombere stemming en desinteresse lijken er bij de afname van een semigestructureerd interview mogelijk ook vaak melancholische (vitale) kenmerken zoals schuldgevoelens, psychomotore vertraging, apathie, slaapstoornissen, eetlustvermindering aanwezig te zijn. Opvallend is dat ook somatische klachten of preoccupaties gemeld worden, al dan niet in combinatie met cognitieve symptomen.22
Het ontstaansmechanisme van depressie bij CADASIL is niet geheel duidelijk. Er is evidentie dat de uitgebreidheid van de WSL bij patiënten met CADASIL geassocieerd is met zowel de prevalentie als de ernst van depressie.23 In die zin kan CADASIL beschouwd worden als een genetische vorm van een zogenoemde vasculaire depressie, waarbij structurele en functionele aantasting van voornamelijk frontolimbische wittestofbanen als oorzaak van de affectieve en cognitieve symptomen wordt gezien.23,24 Daarnaast is er de mogelijke rol van het inflammatoire proces dat gepaard gaat met de vasculaire letsels. Zo wordt een verhoging van pro-inflammatoire cytokines ook gelinkt aan het ontstaansmechanisme van post-CVA-depressie.24 Verder kunnen depressieve symptomen mogelijk ook in het kader van een aanpassingsstoornis na CVA geduid worden.
Of de depressieve symptomen significant verschillen bij CADASIL veroorzaakt door cysteïnesparende mutaties ten opzichte van die bij het syndroom veroorzaakt door cysteïnemodificerende mutaties, werd niet onderzocht.
Op evidentie uit enkele casusbeschrijvingen na is er op dit moment onvoldoende wetenschappelijke basis om een specifieke behandeling van depressie bij CADASIL aan te bevelen. SSRI’s hebben de voorkeur wegens het gunstige tolerantieprofiel (ook na een CVA).16 Antidepressiva met anticholinerge bijwerkingen, zoals tricyclische antidepressiva, worden afgeraden wegens de negatieve impact op de cognitie. Indien men CADASIL beschouwt als een model voor vasculaire depressie, is het te verwachten dat de therapierespons vaak beperkt zal zijn – zoals ook bij onze patiënt het geval was.25
conclusie
Hoewel depressie vaak voorkomt bij CADASIL is het omgekeerd niet evident om bij een depressieve patiënt de diagnose CADASIL te vermoeden. Een éénmalige depressie of zelfs recidiverende depressieve episodes kunnen namelijk neurologische symptomen zoals een cerebrovasculaire complicatie of cognitieve deficits voorafgaan, zoals in onze casusbeschrijving. Bij een persoonlijke of familiale voorgeschiedenis van migraine en (vroeg ontstane) TIA/CVA, al dan niet in combinatie met een stemmingsstoornis of een neurocognitieve stoornis, lijkt het dus aan te bevelen om bij een depressieve stoornis die ontstaat na de leeftijd van 35-40 jaar een MRI-scan van de hersenen uit te voeren. Bij aanwezigheid van uitgebreide WSL, ook zonder aantasting van de anterieure temporaalkwab, is in de eerste plaats genetisch onderzoek naar een pathogene NOTCH3-mutatie aan te raden. Bij onzekerheid over de pathogeniciteit van een mutatie kan aanvullend een huidbiopsie uitgevoerd worden.
Recentelijk werden verschillende zogenoemde cysteïnesparende mutaties in het NOTCH3-gen in verband gebracht met het CADASIL-syndroom, waarbij de typische anterieur temporale letsels op de MRI-scan echter slechts in een minderheid van de patiënten aan te tonen zijn. Een voorbeeld van zo’n mutatie is p.R61W zoals in onze casusbeschrijving. Het bestaan van deze atypische presentatie van CADASIL en de beschreven associatie met cysteïnesparende mutaties laat vermoeden dat de prevalentie van CADASIL ook bij oudere patiënten met een depressieve stoornis met WSL en/of lacunaire infarcten mogelijk hoger is dan verondersteld wordt.
Met deze casusbeschrijving beogen we psychiaters aan te zetten om bij een patiënt met een depressieve stoornis en een suggestieve persoonlijke of familiale voorgeschiedenis de diagnose CADASIL in overweging te nemen. Hoewel er geen curatieve behandeling voor CADASIL bestaat, heeft een vroegtijdige diagnose belangrijke implicaties voor de prognose en genetische counseling, alsook de te verwachten respons op behandeling van depressie.
literatuur
1 Chabriat H, Joutel A, Dichgans M, e.a. Cadasil. Lancet Neurol 2009; 8: 643-53.
2 Valenti R, Poggesi A, Pescini F, e.a. Psychiatric disturbances in CADASIL: A brief review. Acta Neurol Scand 2008; 118: 291-5.
3 Desmond DW, Moroney JT, Lynch T, e.a. The natural history of CADASIL: a pooled analysis of previously published cases. Stroke 1999; 30: 1230-3.
4 Rutten JW, Hack RJ, Duering M, e.a. Broad phenotype of cysteine-altering NOTCH3 variants in UK Biobank: CADASIL to nonpenetrance. Neurology 2020; 95: 1835-43.
5 Yamamoto Y, Liao YC, Lee YC, e.a. Update on the epidemiology, pathogenesis, and biomarkers of cerebral autosomal dominant arteriopathy with subcortical infarcts and leukoencephalopathy. J Clin Neurol 2023; 19: 12-27.
6 Zhu S, Nahas SJ. CADASIL: imaging characteristics and clinical correlation. Curr Pain Headache Rep 2016; 20: 57.
7 Pantoni L, Pescini F, Nannucci S, e.a. Comparison of clinical, familial, and MRI features of CADASIL and NOTCH3-negative patients. Neurology 2010; 74: 57-63.
8 Muiño E, Gallego-Fabrega C, Cullell N, e.a. Systematic review of cysteine-sparing NOTCH3 missense mutations in patients with clinical suspicion of CADASIL. Int J Mol Sci 2017; 18: 1964.
9 Mizuno T, Mizuta I, Watanabe-Hosomi A, e.a. Clinical and genetic aspects of CADASIL. Front Aging Neurosci 2020; 12: 91.
10 Kim H, Lim YM, Lee EJ, e.a. Clinical and imaging features of patients with cerebral autosomal dominant arteriopathy with subcortical infarcts and leukoencephalopathy and cysteine-sparing NOTCH3 mutations. PLoS One 2020; 15: e0234797.
11 Joutel A, Favrole P, Labauge P, e.a. Skin biopsy immunostaining with a NOTCH3 monoclonal antibody for CADASIL diagnosis. Lancet 2001; 358: 2049-51.
12 Liem MK, Oberstein SA, van der Grond J, e.a. CADASIL and migraine: A narrative review. Cephalalgia 2010; 30: 1284-9.
13 Buffon F, Porcher R, Hernandez K, e.a. Cognitive profile in CADASIL. J Neurol Neurosurg Psychiatry 2006; 77: 175-80.
14 Reyes S, Viswanathan A, Godin O, e.a.. Apathy: a major symptom in CADASIL. Neurology 2009; 72: 905-10.
15 Opherk C, Peters N, Herzog J, e.a. Long-term prognosis and causes of death in CADASIL: a retrospective study in 411 patients. Brain 2004; 127: 2533-9.
16 Bersano A, Bedini G, Oskam J, e.a. CADASIL: Treatment and management options. Curr Treat Options Neurol 2017; 19: 31.
17 Chabriat H, Hervé D, Duering M, e.a. Predictors of clinical worsening in cerebral autosomal dominant arteriopathy with subcortical infarcts and leukoencephalopathy: prospective cohort study. Stroke 2016; 47: 4-11.
18 Dupé C, Guey S, Biard L, e.a. Phenotypic variability in 446 CADASIL patients: Impact of NOTCH3 gene mutation location in addition to the effects of age, sex and vascular risk factors. J Cereb Blood Flow Metab 2023; 43: 153-66.
19 Brass SD, Smith EE, Arboleda-Velasquez JF, e.a. Case records of the Massachusetts General Hospital. Case 12-2009. A 46-year-old man with migraine, aphasia, and hemiparesis and similarly affected family members. N Engl J Med 2009; 360: 1656-65.
20 Wollenweber FA, Hanecker P, Bayer-Karpinska A, e.a. Cysteine-sparing CADASIL mutations in NOTCH3 show proaggregatory properties in vitro. Stroke 2015; 46: 786-92.
21 Yamamoto Y, Ihara M, Tham C, e.a. Neuropathological correlates of temporal pole white matter hyperintensities in CADASIL. Stroke 2009; 40: 2004-11.
22 Valenti R, Pescini F, Antonini S, e.a. Major depression and bipolar disorders in CADASIL: A study using the DSM-IV semi-structured interview. Acta Neurol Scand 2011; 124: 390-5.
23 Park JH, Jeon BH, Lee JS, e.a. CADASIL as a useful medical model and genetic form of vascular depression. Am J Geriatr Psychiatry 2017; 25: 719-27.
24 Wijeratne T, Sales C. Understanding why post-stroke depression may be the norm rather than the exception: the anatomical and neuroinflammatory correlates of post-stroke depression. J Clin Med 2021; 10: 1674.
25 Aizenstein HJ, Baskys A, Boldrini M, e.a. Vascular depression consensus report – a critical update. BMC Med 2016; 14: 161.
Auteurs
Katrien Ernes, arts in opleiding tot psychiater, tijdens het schrijven van dit artikel: Psychiatrisch ziekenhuis Sint-Annendael, Diest.
Steven Huysmans, psychiater, Psychiatrisch ziekenhuis Sint-Annendael, Diest.
Anneke Govaerts, neuroloog, Regionaal ziekenhuis, Tienen.
François-Laurent De Winter, psychiater, afd. Ouderenpsychiatrie, UPC KU Leuven; docent, faculteit Geneeskunde, KU Leuven.
Correspondentie
Katrien Ernes (katrien.ernes@asster.be).
Geen strijdige belangen meegedeeld.
Het artikel werd voor publicatie geaccepteerd op 22-9-2023.
Citeren
Tijdschr Psychiatr. 2024;66(2):107-111